Results
Straight teeth not only look better, but they're healthier, easier to clean, and last longer!


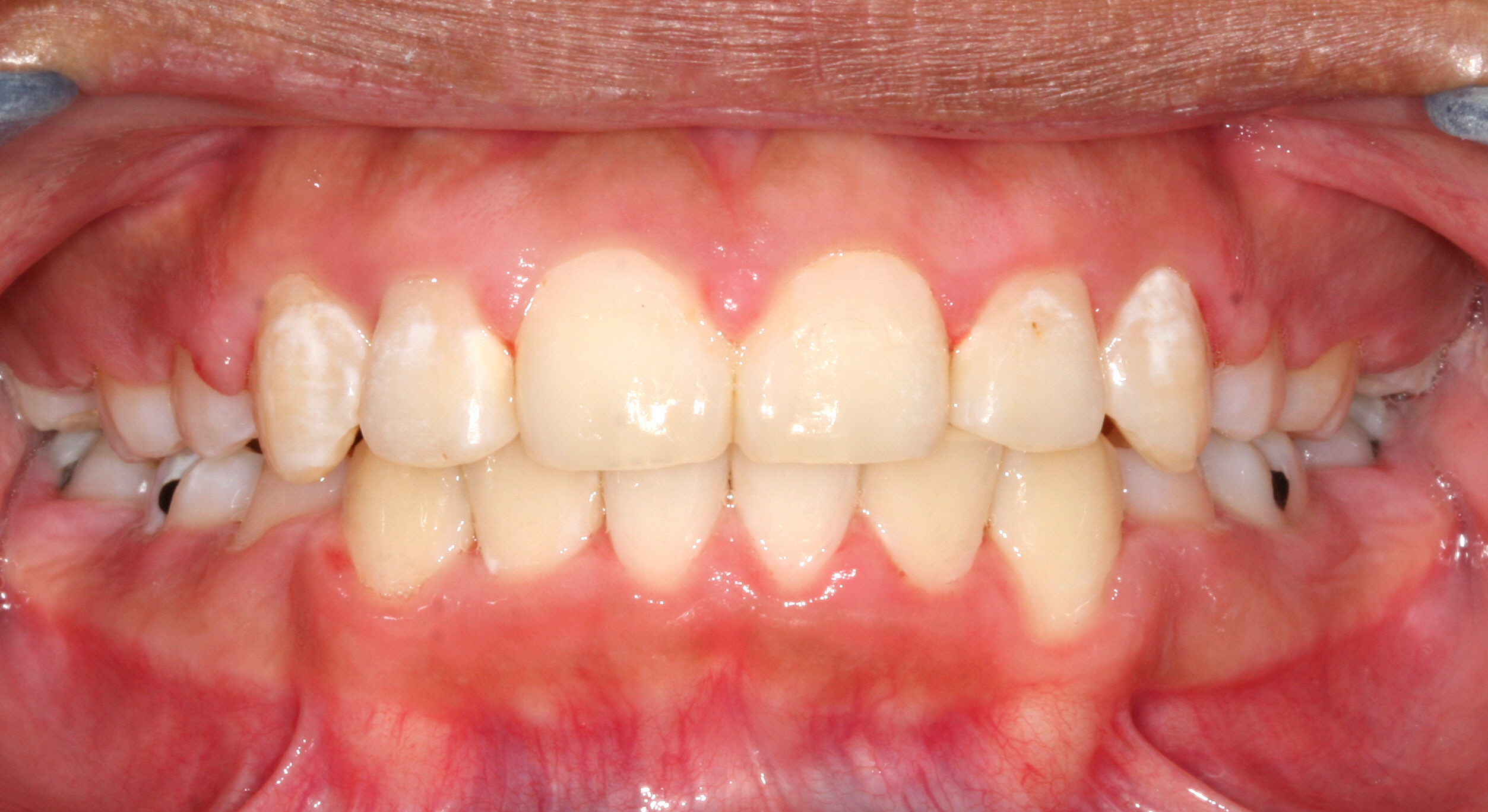
Before
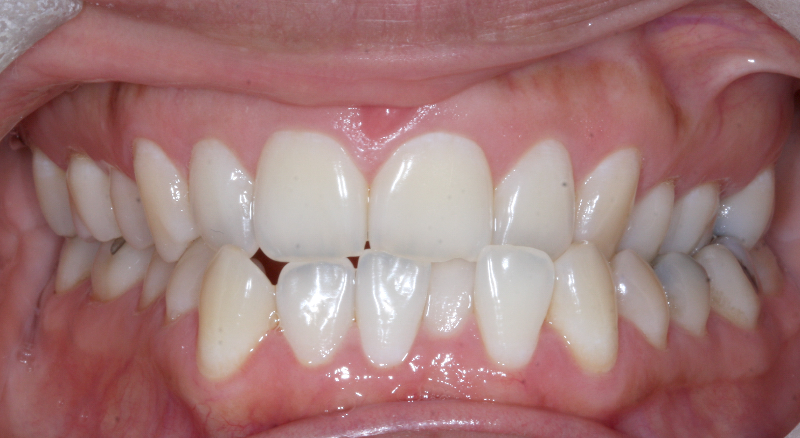
After
Treatment of an adolescent with severe crowding, narrow arches, and an anterior crossbite.


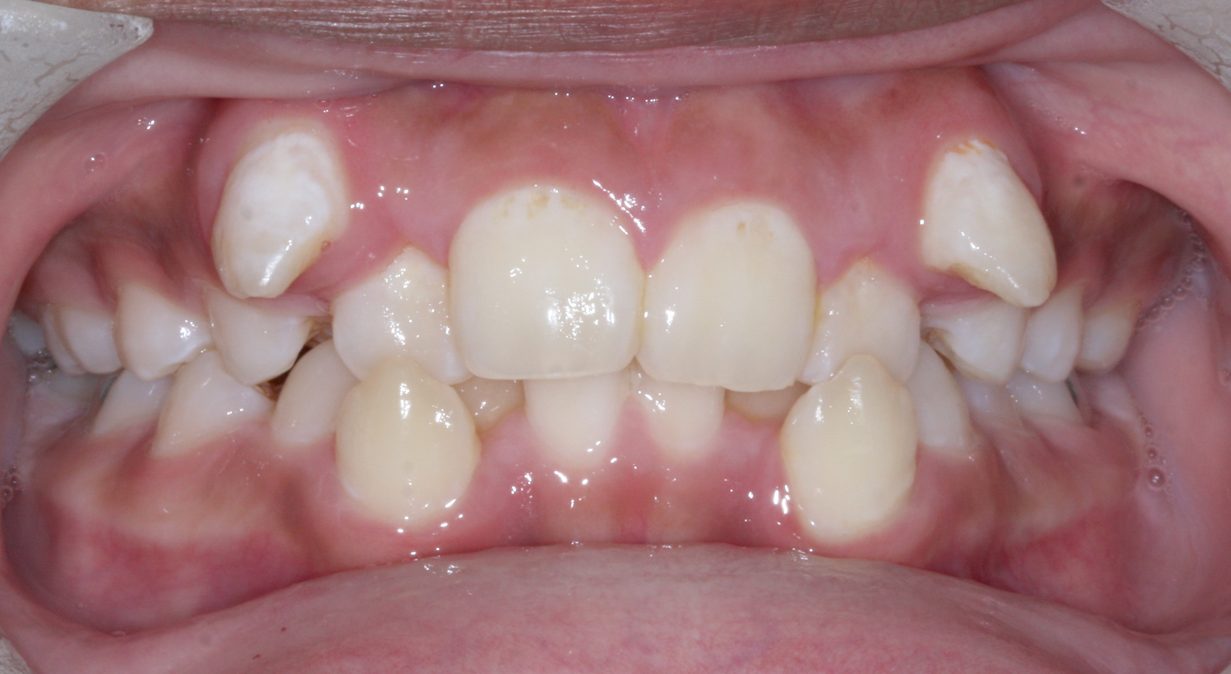
Before
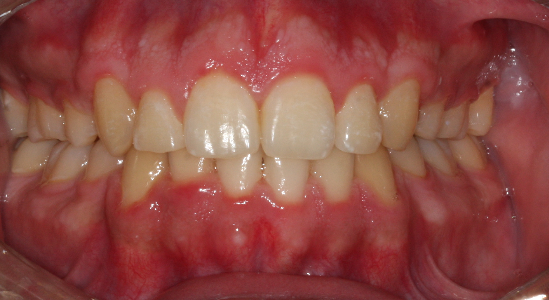
After
Orthodontic treatment addressing spacing and alignment issues.


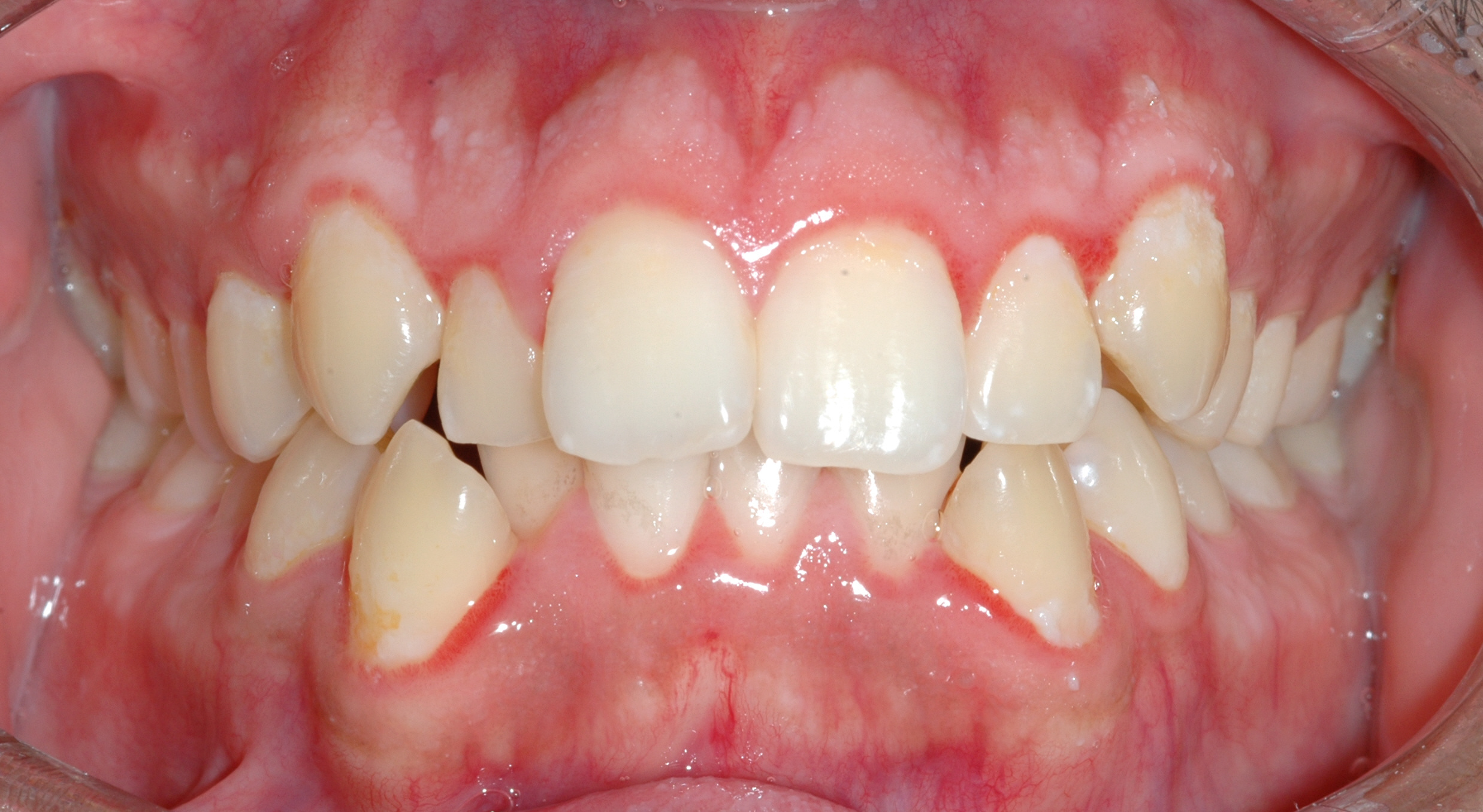
Before
After
Comprehensive treatment for bite correction and tooth alignment.


Before
After
Advanced orthodontic case involving complex bite and alignment corrections.